Ultimele Articole

Elasticele pentru aparat dentar – Tot ce trebuie să știi

Elasticele pentru aparat dentar joacă un rol esențial în tratamentul ortodontic, contribuind la stabilizarea arcului...

Ce calități trebuie să aibă un ortodont bun?

Un ortodont de excepție trebuie să îmbine pasiunea pentru meserie cu o expertiză tehnică solidă...

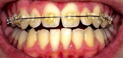
Se pătează aparatul dentar ceramic?

Aparatul dentar ceramic nu se pătează ușor, însă elasticele utilizate pentru fixare pot suferi decolorări....

Ce dulciuri pot consuma în timpul tratamentului ortodontic?

În timpul tratamentului ortodontic, este recomandat să evitați dulciurile care conțin zahăr și sunt lipicioase,...